Coffee is a part of many people’s daily routine, but it can also leave behind unwanted discoloration. If you’ve noticed brown coffee stains on teeth, you’re not alone; they are one of the most common cosmetic dental concerns. The good news is that these stains can be removed effectively, especially when you understand why they form and what treatment works best.
In this guide, we explain everything you need to know about removing coffee stains fast, preventing new stains, and choosing the right whitening method for your smile.
What Causes Coffee Stains on Teeth?
Coffee contains dark pigments called tannins that cling to the tiny pores on your tooth enamel. Even if you brush every day, these pigments can build up over time and change the natural color of your teeth. When you drink coffee daily, tannins mix with saliva and form a sticky layer on your enamel. This layer absorbs color, gradually creating coffee stain teeth that look yellow or brown. Stains become harder to remove when:
- You sip coffee throughout the day instead of drinking it all at once
- You drink coffee with added sugar or creamer (they increase plaque buildup)
- Enamel becomes thinner with age
- You smoke, which worsens staining
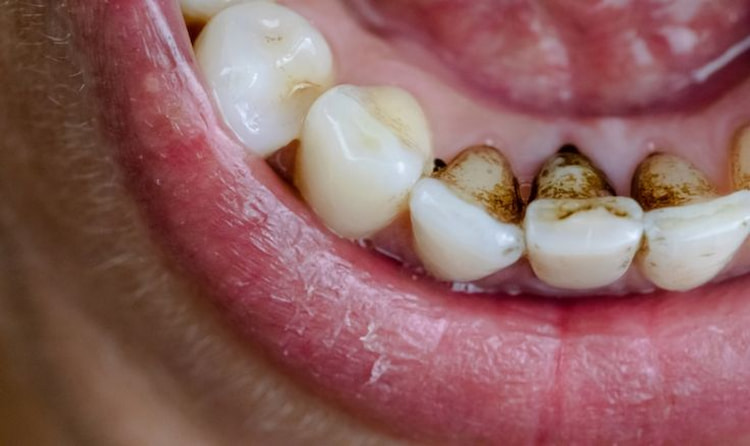
Here are some pictures of coffee-stained teeth to better recognize if the stains on your teeth are caused by coffee.


How to Remove Coffee Stains from Teeth
Removing coffee stains quickly relies on choosing the right treatment based on how deep your stains are. Early stains often sit on the surface and come off with dental cleaning. But deep stains settle beneath the enamel surface and require professional teeth whitening. Below are the most effective professional options.
In-Office Whitening
In-office teeth whitening is the fastest way to treat both surface and deep stains. Your dentist applies a high-strength whitening gel, often activated by a special light. The process usually takes about an hour and can instantly lighten your teeth several shades.
This option works well if you want results immediately, have an important event soon, or have stubborn stains that haven’t responded to at-home products.
Custom Take-Home Whitening Trays
If you prefer whitening gradually at home but still want professional-level results, custom trays are an excellent choice. Your dentist creates molds of your teeth, so the whitening gel spreads evenly. You wear the trays for a short period each day.
Compared to store-bought kits, custom trays fit perfectly, preventing gum irritation, deliver stronger whitening gel, and give more even, longer-lasting results.
Dental Cleaning for Surface Stains
Sometimes coffee stains sit on the outer tooth surface. A professional dental cleaning removes plaque, tartar, and light staining using polishing tools. If your stains are mild, a cleaning alone can make your teeth look brighter immediately.
Worth Reading: The Difference Between Deep Cleaning and Regular Cleaning

Are At-Home Ways Effective for Removing Coffee Stains on Teeth?
Many people try home remedies like baking soda, apple cider vinegar, or hydrogen peroxide. While these ingredients have whitening properties, they must be used with caution. At-home remedies work gradually and are not as effective as professional treatments. Some can even damage enamel if used too often. For example:
- Baking soda is a mild abrasive that may reduce light surface stains but won’t remove deep discoloration.
- Hydrogen peroxide can whiten teeth, but the concentration sold in stores is weak and may irritate gums.
- Apple cider vinegar is acidic and can weaken enamel if used regularly.
Speaking of gum, here’s a helpful article if you’re not sure if you have gum problems: Gum Disease Symptoms You Should Keep an Eye on
Book Your Teeth Whitening Appointment Today!
Want to remove coffee stains fast? Book a whitening consultation at Lisgar Park Dental and discover the safest, quickest treatment for your smile.
How to Prevent Coffee Stains on Teeth From Coming Back
Avoiding coffee stains on teeth is easier than removing them. By making a few simple changes, you can enjoy your daily coffee without sacrificing your smile. Try these proven tips:
- Use a straw: Helps reduce contact between coffee and your teeth.
- Rinse your mouth after drinking coffee: Water washes away tannins before they settle.
- Brush 30 minutes after coffee: Brushing too soon can damage softened enamel; waiting protects your teeth.
- Drink your coffee in one sitting: Sipping for hours causes more staining.
- Choose whitening toothpaste: Helps maintain results after professional whitening.
- Schedule regular cleanings: This prevents plaque buildup, which attracts more stains.

Get Rid of Coffee Stains on Teeth for a Brighter Smile
Coffee is part of everyday life, but its stains don’t have to be. With the right approach, you can safely brighten your teeth, boost your confidence, and enjoy your daily cup without worry. Whether your stains are light or deeply set, there’s always a solution and the fastest, most reliable results come from professional care.
At Lisgar Park Dental, we customize whitening treatments based on your teeth, your goals, and your lifestyle, helping you achieve a naturally radiant smile that lasts.
If you’re ready to transform your smile, protect your enamel, and say goodbye to stubborn discoloration, our team is here to guide you every step of the way. Contact us today to book your whitening appointment.
FAQ
-
Are coffee stains on teeth permanent?
No. Coffee stains are not permanent. Surface stains can be removed with dental cleaning, while deeper stains can be treated with professional whitening.
-
What do coffee stains on teeth look like?
They usually appear as yellow or brown patches, lines, or uneven discoloration on the enamel. Some stains look like light shading, while others appear more concentrated around the edges of teeth.
-
Does baking soda remove coffee stains from teeth?
Baking soda may help with mild surface stains because it gently scrubs the enamel. However, it does not remove deeper stains and should be used sparingly to prevent enamel wear.
And before you leave…
Which whitening method have you tried before? Drop a comment below and share your experience!